World's Youngest Case of Alzheimer's Diagnosed in 19-Year-Old with No Genetic Predispositions
In a groundbreaking medical revelation that has sent ripples through the scientific community, doctors in China have identified the world's youngest case of Alzheimer's disease in a 19-year-old male.
This unprecedented diagnosis has left researchers puzzled, as the patient exhibits no known genetic predispositions or familial history of the condition, challenging long-held assumptions about the disease's origins and progression.
The case, described in a recent report published in the *Journal of Alzheimer’s Disease*, has sparked urgent questions about the role of environmental factors, undiscovered genetic mutations, or entirely new pathways that may contribute to the development of this devastating condition.
The unnamed teenager first began showing signs of memory decline at the age of 17.
Initially, these symptoms were subtle—forgetting what he had done the previous day and frequently misplacing his belongings.
However, these early indicators of cognitive impairment quickly escalated.
By the time he reached 19, the young man had become unable to complete high school, despite being capable of living independently.
His academic struggles were compounded by profound short-term memory loss, which made it increasingly difficult for him to retain even basic information, such as paragraphs of text or daily events.
Before his formal diagnosis, the teen was referred to a specialized memory care clinic, where he underwent a series of comprehensive assessments.
These evaluations revealed alarming results: his overall memory score was 82 percent lower than that of his age-matched peers, while his immediate memory score was 87 percent lower.
Such a stark deficit in cognitive function is typically associated with much older patients, making the case even more extraordinary.
The clinic's findings underscore the severity of the condition and the rapidity with which it progressed in this young individual.
Brain scans conducted in 2022 provided further evidence of the disease's presence.
These scans revealed significant shrinkage in the hippocampus, a critical region of the brain responsible for memory formation.
The hippocampus is one of the first areas affected by Alzheimer's, and its deterioration is a hallmark of the disease.

The scans were corroborated by analyses of the patient's cerebrospinal fluid, which showed abnormal levels of amyloid and tau proteins—two key biomarkers linked to the development of Alzheimer's.
These findings align with the diagnostic criteria established by the National Institute on Aging-Alzheimer’s Association, confirming that the young man met the standards for probable Alzheimer's dementia despite his age.
What makes this case particularly perplexing is the absence of any known genetic mutations.
Typically, patients diagnosed with Alzheimer's before the age of 30 exhibit specific genetic abnormalities, such as mutations in the PSEN1 gene, which are associated with familial Alzheimer's disease.
However, this unnamed teen showed no such mutations and had no family history of dementia, ruling out the most common genetic pathways associated with early-onset Alzheimer's.
This absence of a clear genetic cause has left researchers at a loss, prompting them to explore other potential factors that may have contributed to the disease's onset.
The researchers from Capital Medical University, who documented the case, emphasized that the disease's 'pathogenesis still needs to be explored.' This statement highlights the urgency of further investigation into possible environmental triggers, undiscovered genetic factors, or entirely new mechanisms that could explain the patient's condition.
The case challenges the current understanding of Alzheimer's, suggesting that there may be more to the disease's development than previously believed.
To date, the youngest person known to have been diagnosed with Alzheimer's disease was a 21-year-old who carried a PSEN1 gene mutation.
This 19-year-old patient, however, represents a unique and 'sporadic' case, as described by the researchers.
The term 'sporadic' refers to instances of the disease that occur without a clear genetic or familial link, making them particularly difficult to predict or prevent.
This case adds a new layer of complexity to the already intricate landscape of Alzheimer's research, emphasizing the need for a more comprehensive understanding of the disease's diverse manifestations.
The teenager's cognitive decline was both rapid and debilitating.
It began with difficulties in concentration during his high school years, which quickly escalated to profound short-term memory loss.
He struggled to remember daily events, frequently misplaced items, and had trouble retaining even a paragraph of text.
These symptoms severely impacted his ability to function academically and socially, ultimately leading to his inability to complete high school.

Interestingly, the young man's initial cognitive screening tests appeared normal.
He scored 28 out of 30 on the Montreal Cognitive Assessment (MoCA), where a score of 26 or higher is considered normal, and 29 out of 30 on the Mini-Mental State Examination (MMSE), where a score of 24 or higher is normal.
However, a year later, his performance on the MoCA's memory section deteriorated significantly.
This decline was a critical indicator of the disease's progression, highlighting the insidious nature of Alzheimer's and the importance of longitudinal assessments in diagnosing such conditions.
As the medical community grapples with the implications of this case, it is clear that this young man's story will serve as a pivotal point in the ongoing quest to understand and combat Alzheimer's disease.
His condition challenges existing paradigms and underscores the necessity of continued research into the myriad factors that may contribute to the development of this complex and devastating illness.
The case of the patient, whose memory performance fell far below expected norms, has sparked renewed interest in the complexities of diagnosing and understanding early-stage neurological decline.
Over five trials, he recalled only 37 words, a stark contrast to the typical 56 for his age and education level.
After a three-minute delay, he managed to recall just five words, whereas the normal benchmark is around 13.
By the 30-minute mark, his recall had plummeted to two words, a figure that should be approximately 13 for his peers.
This profound deficit, placing him below 82 to 87 percent of his age group, exposed a significant impairment that initial assessments had overlooked.
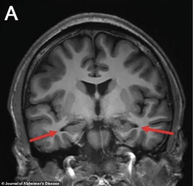
An MRI revealed a critical anomaly: the hippocampus, the brain's primary memory center, was visibly shrinking.

Additional scans confirmed reduced activity in the parietal and temporal cortices, regions crucial for memory and critical thinking.
These findings were further highlighted by arrows on the MRI images, drawing attention to the atrophied areas.
Despite these structural changes, specialized PET scans designed to detect Alzheimer's hallmark proteins—amyloid and tau—initially returned negative results.
This absence of visible plaque buildup raised questions about the limitations of imaging technology in early diagnosis.
However, a lumbar puncture provided a more nuanced picture.
The analysis of cerebrospinal fluid revealed elevated levels of tau proteins and an abnormal ratio of amyloid proteins.
These findings suggested an underlying pathological process, even in the absence of detectable plaques on PET scans.
Experts note that while amyloid PET scans are valuable, they are not infallible.
They can fail to identify plaques in a subset of Alzheimer's patients, particularly in the earliest stages of the disease.
In contrast, spinal fluid tests often demonstrate greater sensitivity during these initial phases, offering a complementary diagnostic tool.
An exhaustive battery of additional tests ruled out alternative causes for his cognitive decline.
There were no signs of infections, autoimmune disorders, toxins, or metabolic diseases.
Genetic testing also failed to identify mutations in the PSEN1, PSEN2, or APP genes, which are typically associated with early-onset Alzheimer's.
Furthermore, the patient carried the most common, neutral form of the APOE gene, which is linked to a significantly increased risk of Alzheimer's when two copies are present.
This genetic profile, combined with the absence of typical mutations, complicates the diagnostic landscape.
The case underscores a broader trend: Alzheimer's, traditionally viewed as a disease of the elderly, is increasingly affecting younger individuals.

Recent studies indicate a rising prevalence of early-onset dementia, with diagnoses among those under 50 on the rise.
According to a report from Blue Cross Blue Shield, diagnoses among commercially insured adults aged 30 to 64 surged by 200 percent between 2013 and 2017.
This sharp increase has prompted scrutiny into whether it reflects improved detection rates rather than a true epidemiological shift.
Historically, cognitive symptoms in younger adults were often misattributed to stress or burnout, leading to widespread underdiagnosis.
The human toll of this trend is evident in stories like that of Jana Nelson, a former businesswoman whose life transformed in her late 40s with the onset of severe mood swings, balance issues, and cognitive decline.
After extensive testing, she received the diagnosis of early-onset dementia at age 50.
Similarly, Rebecca, a 48-year-old single mother, faced a devastating prognosis after being diagnosed with early-onset Alzheimer's following years of memory lapses.
She has chosen to end her life through Canada's medical assistance in dying program, seeking to reclaim autonomy before the disease progresses further.
The average age of those affected by early-onset dementia is now 49, with women accounting for 58 percent of cases.
This disparity highlights the need for targeted research and interventions.
While the rise in diagnoses may be partly attributed to better detection, the role of modern lifestyle factors cannot be ignored.
Poor diet, physical inactivity, excessive screen time, and obesity are under scientific scrutiny as potential contributors to the growing risk of dementia among younger populations.
Researchers are investigating whether these factors collectively drive inflammation, vascular damage, and metabolic dysfunction, which may accelerate brain aging and cognitive decline long before the onset of old age.
As the medical community grapples with these challenges, the interplay between early detection, lifestyle modification, and the evolving understanding of Alzheimer's pathology remains a critical area of focus.
The patient's case, with its complex diagnostic journey and the broader implications for public health, serves as a stark reminder of the urgent need for comprehensive strategies to address this growing crisis.
Photos