The Hidden Costs of Vaping: How Regulation Gaps Threaten Public Health
Hudson Williams, a 23-year-old factory worker from Texas, once found himself trapped in a cycle of addiction that seemed impossible to break.
For six years, he had been vaping at an alarming rate—every 10 seconds, according to his own account.
The habit began in 2019 when he switched from cigarettes to e-cigarettes, lured by the promise of a product that 'tasted better.' But what started as a seemingly harmless alternative to smoking soon spiraled into a health crisis that nearly cost him his life.
The turning point came in August when Williams experienced a sudden, excruciating episode of heartburn that escalated into sharp, radiating chest pain. 'Within about 15 minutes, it felt as if somebody had shot me in the chest with a shotgun,' he recalled.
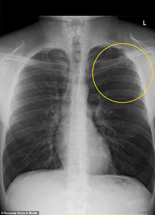
Rushed to the hospital, he was diagnosed with a partially collapsed lung, a condition known medically as a pneumothorax.
This occurs when air leaks into the chest cavity, creating pressure that forces the lung to collapse.

Doctors confirmed that the damage was directly linked to his years of vaping, a revelation that stunned him.
The chemicals in e-cigarettes, which include thousands of potentially carcinogenic substances, have long been known to erode lung tissue.
Over time, these toxins can cause small, air-filled sacs called blebs to rupture, leading to the very condition that hospitalized Williams.
Left untreated, such collapses can result in severe breathing difficulties and life-threatening infections. 'I had seen online warnings about lung damage, high blood pressure, and even cancer,' Williams admitted. 'But I didn’t think it would happen to me.' Williams' experience is not an isolated one.
Across the United States, roughly six percent of adults—about 17 million people—report regular vaping.
The highest rates of use are among young adults aged 18 to 24, with over 15 percent in that group regularly vaping.

Among children, the numbers are still troubling: around 1.6 million middle and high school students continue to vape, though usage has declined since its peak in 2019. 'I’m pretty lucky,' Williams said, reflecting on his condition. 'Some people have a full collapse, or even both lungs collapse.' The medical community has increasingly sounded alarms about the long-term risks of vaping.
While e-cigarettes were once marketed as a safer alternative to smoking—responsible for nine in 10 cases of lung cancer, America’s deadliest form of the disease—recent research has revealed a darker side.
A case detailed in a medical journal this year described a New Jersey man who died of aggressive lung cancer, the first confirmed case directly linked to e-cigarettes.
The aerosol produced by e-cigarettes, which heats a liquid containing nicotine, flavorings, and toxic chemicals, can deliver harmful substances deep into the lungs.
Substances like formaldehyde and acetaldehyde, both known carcinogens, can cause DNA mutations and inflammation, increasing cancer risk over time.
For Williams, the pain was both physical and emotional. 'It radiated around my rotator cuff, my collar bone, my heart, the middle of the chest, my neck, my earlobe, the bottom of my lung, and my back,' he described.

At the hospital, doctors found his left lung had collapsed by 10 percent—a minor collapse, but one that came with a dire warning.
Despite his recovery, which involved pain medication, oxygen therapy, and an overnight hospital stay, doctors warned that the damage could lead to another collapse, even if he quit vaping entirely. 'It was scary,' he said. 'I definitely regretted the fact that I’d vaped.' Williams' ordeal has become a wake-up call.
He quit vaping immediately after the incident, calling it '100% the wake-up call that I needed to quit for good.' His message to others is clear: 'Don’t vape.
It’s not cool.
It’s hard to quit and it’s a lot easier said than done.
It’s a nasty habit and it’s hard to get out of, but it’s definitely possible.' His story now serves as a cautionary tale for a generation grappling with the invisible dangers of a habit once thought to be harmless.
Photos