Marbling Fat in Muscles: The Dark Side of Ultra-Processed Diets
Medical imaging rarely offers such a visceral glimpse into the human body, but recent scans reveal a disturbing transformation. Doctors have surfaced images that look less like human anatomy and more like a slab of marbled steak. These cross-sections of a woman’s thigh muscle serve as undeniable evidence of the physical wreckage caused by ultra-processed foods (UPFs).
The woman in the study derived 87 percent of her nutrition from industrial formulations. Her diet relied heavily on cold cereals, chocolate candy bars, and regular soda—products stripped of whole-food integrity and rebuilt with refined sugars, oils, starches, and chemical additives like emulsifiers and artificial colors. Despite maintaining a moderate activity level, the sheer density of UPFs forced fat to infiltrate her muscle tissue, creating a marbled appearance.

This phenomenon is not an isolated incident. In a separate investigation of 615 adults facing the risk of knee osteoarthritis, researchers found that UPFs comprised an average of 41 percent of their daily intake. The data reveals a consistent pattern: higher consumption correlates directly with increased "marbling," a process where fat accumulates within the thigh muscles, aggressively replacing healthy, functional tissue.
Scientists call this condition myosteatosis. When the body faces metabolic stressors—specifically the chronic low-grade inflammation and insulin resistance triggered by UPFs—fat cells begin to colonize the spaces between and inside muscle fibers. In a healthy state, muscle tissue consists of lean, contractile fibers. However, an overload of refined sugars and unhealthy fats disrupts this architecture. As muscle cells lose their ability to respond to insulin, they fail to absorb glucose for energy. Instead of repairing the tissue, specialized muscle cells undergo a catastrophic shift, transforming into fat cells.

The implications for public health are profound. This internal fat accumulation does more than just alter an MRI; it compromises fundamental human movement. As muscles weaken, simple tasks like climbing stairs, carrying groceries, or rising from a chair become grueling. This physical decline often triggers a dangerous cycle: increased instability leads to a higher risk of falls, which encourages a more sedentary lifestyle, ultimately accelerating further muscle loss and eroding independence.
The biological risks extend far beyond physical weakness. Myosteatosis links directly to heightened rates of metabolic syndrome, chronic inflammation, and insulin resistance. For vulnerable populations, the stakes are even higher. The presence of this intramuscular fat correlates with increased risks of hospitalization, surgical complications, and premature death, particularly for individuals already battling kidney disease, liver disease, or cancer.

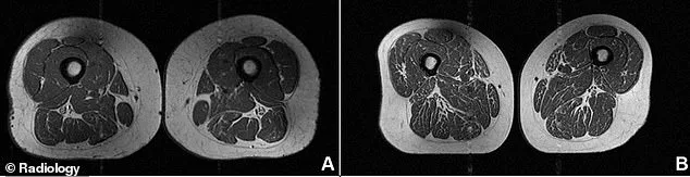
The contrast is stark when comparing MRI scans of two women of similar age and weight. One 61-year-old woman, whose diet contained 30 percent ultra-processed foods, shows minimal fat infiltration. In contrast, a 62-year-old woman, whose diet consisted of 87 percent ultra-processed foods, displays the devastating, marbled destruction of her muscle tissue.
White streaks of fat can replace healthy muscle, mirroring the marbling seen in a steak. New research indicates that a diet high in ultra-processed foods (UPFs) triggers this exact process within human thigh muscles, directly weakening the tissue.

By tapping into specialized data from the Osteoarthritis Initiative, researchers scrutinized a precise cohort of 615 participants who were free from arthritis, joint pain, or chronic diseases. The team utilized MRI scans to inspect the internal structure of the thighs, grading fat infiltration from zero—no fat—to a level four, where fat makes up more than 50 percent of the muscle.
The study, published in the journal Radiology, paired these scans with detailed yearly dietary questionnaires. This allowed researchers to pinpoint the exact percentage of daily calories coming from UPFs. The findings revealed a direct correlation: as UPF consumption increased, intramuscular fat levels rose accordingly. This pattern held across the hamstrings, quadriceps, and inner thighs, and the link appeared even more pronounced when researchers measured abdominal circumference instead of BMI.

The impact varies by muscle group. The adductors (inner thighs) showed the most significant fat accumulation, followed by the hamstrings (flexors). The quadriceps (extensors) experienced the smallest, yet still significant, effect. These results remained consistent for both men and women. These findings signal a growing health risk as populations consume more UPFs—industrial products manufactured from refined sugars, oils, and starches, along with artificial colors, flavors, and preservatives.
While scientists cannot yet guarantee that eliminating UPFs will reverse existing fat infiltration, evidence suggests that weight loss and exercise can improve muscle quality. Regular aerobic exercise, such as walking for 30 to 60 minutes most days, can reduce intramuscular fat in older adults, even without significant weight loss. Resistance training also boosts muscle strength and function, even if fat deposits persist. Furthermore, bariatric surgery has been shown to reduce intramuscular fat in severely obese patients, indicating that major metabolic changes can reverse some damage. Most importantly, reducing UPF intake serves as a vital way to stop further damage and protect muscle health throughout life; for most, the goal should be preventing additional marbling while building lean muscle through strength training.
Photos