Intersection of Mental Health and Social Determinants: A Call for Systemic Change
A 43-year-old woman from Massachusetts, battling severe depression and suicidal ideation, was admitted to the psychiatric ward at Massachusetts General Hospital—a Harvard-affiliated institution—after expressing intent to overdose on medication.
Her mental health struggles were compounded by a complex web of challenges, including a history of bipolar disorder, domestic violence, financial instability, and limited access to stable housing.
These stressors, while significant, were only part of the story.
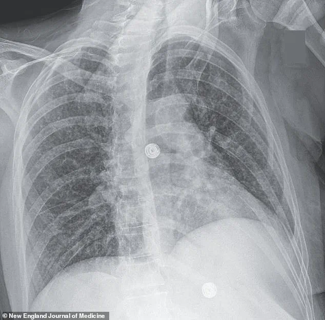
Over the course of her hospitalization, medical professionals observed a troubling progression: a persistent, dry cough that worsened over time, accompanied by declining oxygen levels and labored breathing.
What initially appeared to be a psychiatric crisis soon revealed an underlying, life-threatening condition.
X-ray scans conducted during her stay uncovered small nodules in her lungs, a finding suggestive of bacterial infection.
Further imaging revealed lesions in multiple organs, including the liver, lymph nodes, pancreas, and brain—indications of a systemic infection.
After nine weeks of testing, including biopsies and bacterial cultures, doctors confirmed the presence of *Mycobacterium tuberculosis*, the pathogen responsible for tuberculosis (TB).
This diagnosis marked a rare but severe case of disseminated TB, a form of the disease that spreads beyond the lungs to affect multiple organs.
Though TB is now uncommon in the United States, affecting only a few thousand Americans annually, it remains a critical public health concern, particularly for individuals with compromised immune systems.
The woman’s vulnerability to TB was further illuminated by her medical history.
She had been diagnosed with HIV 17 years prior, but for two years before her hospitalization, she had limited access to antiretroviral medications.
This lapse in treatment likely weakened her immune system, making her susceptible to opportunistic infections like TB.
Her medical team, in a report published in a peer-reviewed journal, emphasized that her HIV status, combined with her lack of adherence to treatment, created a perfect storm for the disease to take hold.

Compounding this, she had a history of substance use, including regular crack cocaine use, daily cigarette smoking, and frequent alcohol consumption—all of which can further impair lung function and immune defenses.
The severity of her condition was underscored by the fact that the TB had reached her brain, a rare but particularly dangerous complication.
Medical experts hypothesize that the infection may have triggered inflammation and disrupted the production of tryptophan, an amino acid essential for serotonin synthesis.
This biochemical disruption could have exacerbated her mental health struggles, creating a bidirectional relationship between her physical and psychological states.
While her life stressors were undoubtedly significant, the medical team suggested that the TB itself may have played a pivotal role in worsening her depression and anxiety.
This case highlights the importance of addressing both mental health and infectious disease risks in vulnerable populations.
For individuals living with HIV, adherence to treatment is critical to maintaining immune function and preventing opportunistic infections.
Similarly, substance use disorders and socioeconomic challenges such as homelessness or poverty can create conditions that increase susceptibility to diseases like TB.
Public health officials and medical professionals emphasize the need for integrated care models that address these intersecting issues, ensuring that patients receive both psychiatric and medical support.
As this woman’s story underscores, the line between mental and physical health is often blurred, and comprehensive, coordinated care is essential to preventing tragedies of this nature.
Tuberculosis, once a leading cause of death worldwide, has seen a dramatic decline in the United States over the past few decades.
Today, it infects approximately 7,000 Americans annually and claims around 500 lives, a stark contrast to the global toll of 1.2 million deaths per year.
While the disease remains a critical public health concern in developing nations, its resurgence in the U.S. has raised new alarms among health officials and medical experts.
The Centers for Disease Control and Prevention (CDC) reports that the number of TB cases in the United States fell steadily from 1993 until 2020, when the country recorded its lowest number of cases in over two decades—7,170.

However, a troubling reversal began in 2021, with cases surging to 7,866, marking the first significant increase in more than a quarter of a century.
The upward trend has continued unabated.
Provisional CDC data from 2024 reveals a record high of 10,347 TB cases, an 8% increase from the previous year and the highest number since 2011.
This rise has sparked concern across the nation, as 80% of U.S. states now report increasing TB rates.
Public health officials have pointed to a confluence of factors contributing to this resurgence, including missed diagnoses, delayed treatment, and a growing distrust of medical professionals fueled by the prolonged impact of the COVID-19 pandemic.
The pandemic disrupted routine healthcare access, weakened vaccination programs, and eroded public confidence in medical institutions, creating an environment ripe for the re-emergence of infectious diseases.
Demographic patterns have also shifted significantly over the past two decades.
In 2001, the CDC first recorded a majority of TB cases among non-U.S. born individuals, a trend that has since persisted.
Immigrants and international travelers now account for the majority of infections in the United States, highlighting the role of global mobility in the spread of the disease.
This shift underscores the need for targeted public health interventions that address both domestic and international sources of transmission.
TB spreads through airborne droplets released when an infected person coughs, sneezes, or speaks.
In its early stages, the disease often presents with a persistent, unexplained cough, sometimes accompanied by coughing up blood or chest pain.
Patients may also experience unexplained weight loss, loss of appetite, fever, and night sweats.

If left untreated, the infection can progress to severe respiratory failure, extensive lung damage, and even the spread of bacteria to other organs, such as the brain, liver, and pancreas.
In advanced cases, TB can cause paralysis, strokes, and other neurological complications due to increased intracranial pressure and damage to vital tissues.
Prevention remains a cornerstone of TB control.
The Bacillus Calmette-Guerin (BCG) vaccine, while effective in preventing severe forms of the disease in children, is not routinely administered in the United States due to the low risk of TB infection among the general population.
However, it is recommended for children with regular exposure to individuals with active TB and for healthcare workers in high-risk areas.
Despite these preventive measures, the rise in cases has prompted calls for renewed public health campaigns and improved access to diagnostic tools and treatment.
A recent case study highlights the complex interplay between TB, mental health, and social determinants of health.
A woman diagnosed with multidrug-resistant TB required 33 days of hospitalization, receiving a combination of antibiotics, steroids, and antiretroviral therapy to manage her HIV.
After discharge to a medical facility for homeless individuals, she was readmitted three months later due to depression and suicidal ideation linked to housing instability.
Her journey underscores the challenges faced by vulnerable populations, including the intersection of TB, homelessness, mental health, and substance use disorders.
While she has since completed her tuberculosis treatment, her ongoing recovery from drug addiction and the broader societal barriers she faces illustrate the need for holistic, integrated care models that address both medical and social needs.
The resurgence of TB in the United States serves as a sobering reminder of the fragility of public health gains achieved over decades.
As experts warn of the growing threat, the focus must shift toward strengthening healthcare infrastructure, rebuilding trust in medical systems, and ensuring equitable access to prevention, diagnosis, and treatment.
The lessons of the past, combined with the urgency of the present, will determine whether the nation can once again turn the tide against this ancient yet persistent disease.
Photos