Defying the Odds: A Postpartum Mother's Battle Against Aggressive Brain Cancer
Kimberly Pelling, 42, was just four months postpartum when she received a life-altering diagnosis: an inoperable grade-four IDH-mutant anaplastic astrocytoma, a type of aggressive brain cancer that typically carries a grim prognosis. The tumor, located in the frontal lobe, threatened to erode her memory, concentration, and sense of self. 'Nothing prepares you for that moment,' she said. 'It was devastating.' Her journey began with sudden night terrors, crushing fatigue, and persistent brain fog—symptoms her family doctor initially dismissed as anxiety but soon proved to be seizures linked to the tumor.
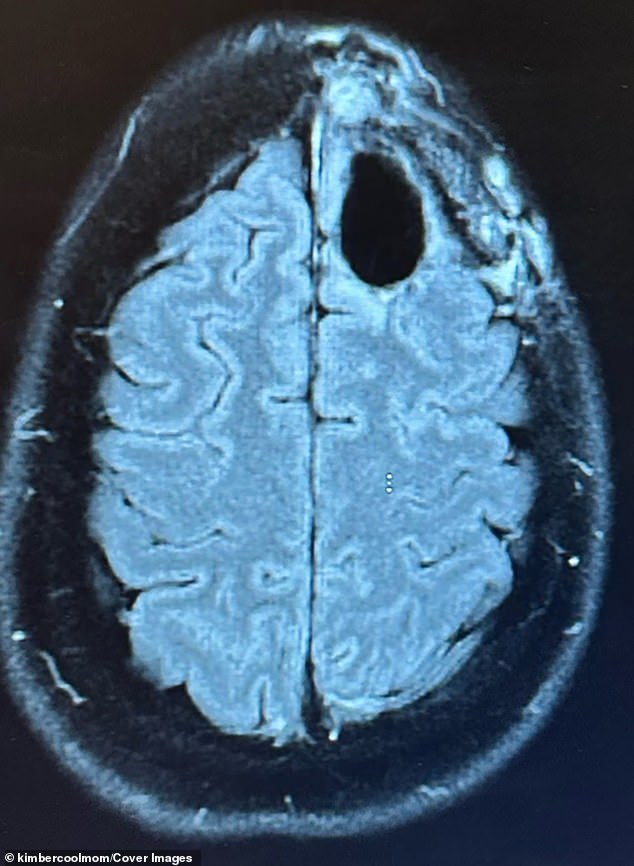
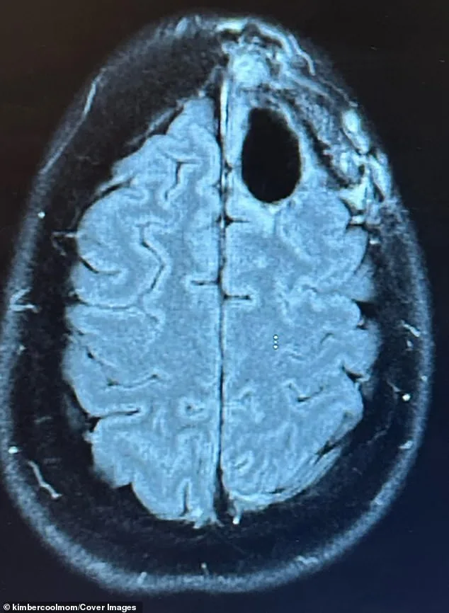
In August 2022, an MRI revealed a lime-sized mass in Pelling's frontal lobe. A biopsy confirmed her diagnosis, a cancer with a median survival rate of about 31 months. A former teacher and avid runner, Pelling believed she had done everything right. Yet the tumor, relentless and unyielding, seemed to defy all odds. She endured the standard treatments for aggressive cancers: chemotherapy, radiation, and brain surgery. The regimen left her bedbound, battling hair loss, fatigue, and brain fog. Eight months later, the cancer had progressed, forming a new, inoperable tumor. Her prognosis was slashed from three years to one.

Faced with a stark choice—endure more treatment or embrace a life with her sons, Raymond and Barrett—Pelling made a decision that defied medical advice. She stopped conventional therapy and embarked on a radical, self-directed approach. 'I didn't want my children's memories of me to be lying sick in bed all the time,' she said. 'If I was going to fight, I wanted to fight in a way that let me still be their mom.' She replaced prescription pills with vitamins, herbs, and a strict carnivore diet built on grass-fed ground beef, scrambled eggs, butter, and salt. She eliminated sugar, hoping to starve the cancer.

Her supplement regimen was exhaustive. Each morning began with raw garlic, black seed oil, curcumin, ginger root, alpha lipoic acid, acetyl L-carnitine, a B complex, and a potent probiotic. She consumed three bitter apricot seeds daily and took 300mg of melatonin—a dose 60 times higher than standard. A viral moment occurred when her son asked why her drink was blue. Pelling explained she was taking methylene blue, a synthetic compound with emerging evidence linking it to cell death in astrocytoma cells. While low doses can boost mental clarity, its use remains unproven in cancer treatment.
In 2025, a routine brain scan delivered news that stunned Pelling. No evidence of cancer. 'I walked into that appointment prepared for anything,' she said. 'Hearing there was no evidence of cancer felt surreal.' Yet she knows the cancer might return. Today, she runs, cares for her boys, and shares her journey online. 'Every extra day with my boys is a miracle to me,' she said. 'It's about showing up for my boys and my husband, Ed. It's about gratitude and faith.'

Experts caution that Pelling's approach is not a substitute for medical care. Nutrition and supplements may support health but should never replace doctor-led treatment. 'I tell people this is my journey, not a prescription,' she said. 'I just want to share hope with anyone who feels like they've run out of options.' Her story highlights the intersection of personal determination and the limits of conventional medicine, a complex landscape where hope and science walk a delicate line.

While Pelling's case is extraordinary, it underscores the need for rigorous research into alternative therapies. Researchers continue to explore links between factors like high blood pressure and brain cancers, emphasizing the importance of credible expert advisories. For now, Pelling's story remains a blend of defiance, faith, and the unpredictable nature of survival—a reminder that sometimes, even in the face of grim odds, life can take unexpected turns.
Photos