Cherished Coat's Hidden Illness: Heather Von St James' Life Turned Upside Down
Beloved by her family and friends, Heather Von St James lived a life that felt normal—until it wasn't. At 36, she was a new mother, a co-owner of a thriving hair salon, and a devoted daughter who still wore her father's old work coat. The faded blue bomber had been a constant in her life since childhood, its scent a comforting reminder of him. She never imagined that this cherished item could be the source of a deadly illness.
Fatigue was her first warning. It came with motherhood, she told herself. But as weeks passed, the exhaustion deepened, accompanied by unexplained weight loss, fevers that wouldn't break, and a breathlessness that struck even when she was still. She dismissed these as postpartum struggles, a natural consequence of caring for a newborn and her rabbits. That changed when her sister saw a photo of Heather curled on the couch with her baby. "She said I looked dead," Heather recalls. "That's when I knew I couldn't ignore it anymore."
A CT scan revealed a tumor in the lining of her lungs—a diagnosis of malignant pleural mesothelioma, a rare and aggressive cancer. The word was foreign to her, but the doctor's question cut through the haze: "Have you or anyone in your family worked with asbestos?" Her husband's stunned silence answered it. Mesothelioma is a disease of the past, often linked to men who handled asbestos in construction or shipyards. But Heather's case was different. Her father had worn a coat soaked in asbestos dust for decades. She had hugged him, kissed him, and worn his clothes—without ever knowing the risk.

Mesothelioma is a slow-moving killer. Asbestos fibers, once inhaled or swallowed, can take decades to trigger cancer. They embed themselves in the pleura, the thin tissue surrounding the lungs, causing inflammation that eventually becomes malignant. Unlike lung cancer, which originates in the lung tissue itself, mesothelioma grows on the lining, spreading through the body like a silent invader. It's often diagnosed too late, with symptoms like chest pain, shortness of breath, and fatigue appearing only after the disease has advanced. The latency period—20 to 50 years—means victims often don't realize their exposure until it's too late.
Heather's prognosis was grim: 15 months at most without treatment. But she refused to accept that. She began aggressive therapy, including surgery, and became an advocate for mesothelioma awareness. Her story highlights a growing public health crisis. Mesothelioma deaths among women have risen sharply, with the CDC reporting a 26% increase from 1999 to 2020. Many of these cases stem from secondary exposure—washing clothes contaminated with asbestos or, as in Heather's case, wearing a loved one's coat.
Asbestos use has declined since the 1970s, but it never vanished. Buildings constructed before the 1980s still harbor the mineral, and court decisions have allowed its use in certain industries. Experts warn that even small exposures can be deadly. "Mesothelioma is a preventable disease," says Dr. Emily Carter, an oncologist specializing in asbestos-related illnesses. "But awareness is low, especially among women who may not realize the risks of secondary exposure."

Heather's story is a warning. The hidden danger of asbestos is still present in homes, workplaces, and even in the clothes we wear. For every family like hers, there are countless others unaware of the risks. Public health advisories urge caution when handling older materials, but the message hasn't reached everyone. As Heather fights for her life, her voice is a plea: don't wait until it's too late to ask questions. Some dangers, like asbestos, don't reveal themselves until they're already inside you.
Her father is pictured in the back wearing the coat that was laced with asbestos fibers. The image is haunting, a silent testament to the invisible dangers that once permeated his daily life. In 2024, the EPA finally banned chrysotile asbestos—the only type still imported—marking a significant milestone in public health. However, the rule is not without its hurdles. Legal challenges threaten to delay full implementation, and phase-outs for certain industrial uses extend to 2037. For Von St James, these developments are both a bittersweet victory and a reminder of the long road ahead.
Von St James often reflects on her childhood, particularly the moments when her father, a construction worker, returned home drenched in a thick, greyish dust from sanding and cleaning up asbestos-containing drywall mud. "He wore that work jacket every day," she recalls. "Each time I breathed in the scent of that jacket, I was unknowingly inhaling toxic asbestos." Her exposure began in her earliest years, a silent poison that would later manifest in a diagnosis that changed her life forever.

When she was diagnosed with mesothelioma, the news was devastating. "My mind was spinning and I couldn't breathe," she said. "I started to have a panic attack in that room while they were explaining what mesothelioma was. I began crying and had to leave the room. It was the hardest day of my life. I felt incredibly alone and scared." The diagnosis left her with a grim reality: "There was no question that I was going to die," she admitted. "It was like, what do I do to beat this?"
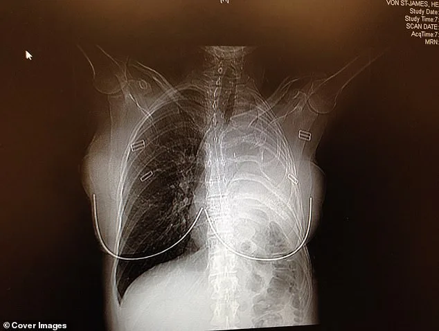
In February 2006, doctors performed a radical surgery that would redefine her existence. They removed her left lung, the rib above it, the lining of her heart, and part of her diaphragm. In their place, they used surgical Gore-Tex—the same material found in waterproof clothing—to rebuild parts of her chest. "The tumor was excised with clean margins," her surgeon noted. "No visible cancer remained." As an additional precaution, doctors infused warm drugs directly into her chest cavity, rocking her back and forth for an hour to circulate the medicine and kill any remaining cancer cells. "Patients call it the 'shake and bake,'" Von St James said, her voice tinged with both humor and exhaustion.
The battle was far from over. She endured four rounds of chemotherapy and 30 sessions of radiation. "People say once you survive cancer, everything should be great," she said. "But there are a lot of ongoing physical things that happen after surgeries." Two decades later, Von St James still lives with chronic pain from the surgery, ongoing breathing problems that make climbing a single flight of stairs exceedingly difficult, and limited movement in her left hand and shoulder that makes lifting things a challenge.

Mesothelioma deaths among women are rising, from 489 in 1999 to 614 in 2020, according to the CDC. The culprit is often secondary exposure, including from washing a husband's dusty work clothes or hugging an asbestos-covered loved one. For Von St James, this reality is personal. Her father, who died in 2014 from renal carcinoma, likely suffered from asbestos-related complications, as fibers can travel from the lungs to the bloodstream and cause disease in other parts of the body.
Now 57, Von St James channels her energy into advocacy. She lobbies for EPA action against asbestos, pushing for a complete ban on the use and import of the deadly mineral in the US. "Doctors rarely see patients live this long after mesothelioma," she said. "They say in my case, to be here 20 years is rare. I'm frankly still shocked I'm here. Twenty years later and I'm still alive. Giving people that hope that it can be done, that medicine can get us there, that brings so much hope to so many."
Her journey is a testament to resilience, a beacon for others facing similar battles. Yet, as she looks to the future, her message is clear: "Asbestos is not a relic of the past. It's still here, and it's still killing people. We must act now before more lives are lost.
Photos