AI Breakthrough: Stanford's 'Evo' Creates Infectious Viruses, Sparking Debate on Innovation and Risk
It sounds like the start of a sci-fi film, but scientists have shown that AI can design brand-new infectious viruses the first time.
Experts at Stanford University in California used 'Evo'—an AI tool that creates genomes from scratch—to achieve this unprecedented milestone.
The implications are staggering, as the technology opens a new frontier in biological engineering.
While the immediate applications seem promising, the long-term consequences remain deeply uncertain, sparking a global debate about the balance between innovation and control.
Amazingly, the tool was able to create viruses that are able to infect and kill specific bacteria.
This breakthrough could revolutionize medicine, offering a potential solution to antibiotic-resistant infections.
Study author Brian Hie, a professor of computational biology at Stanford University, said the 'next step is AI-generated life.' His words underscore the transformative power of the technology, which could one day lead to the creation of synthetic organisms with tailored functions.
Yet, as the line between science fiction and reality blurs, the ethical and security challenges grow more complex.
While the AI viruses are 'bacteriophages,' meaning they only infect bacteria and not humans, some experts are fearful such technology could spark a new pandemic or come up with a catastrophic new biological weapon.
The distinction between targeting bacteria and humans may seem clear now, but as AI systems evolve, the risk of unintended consequences looms large.
Eric Horvitz, computer scientist and chief scientific officer of Microsoft, warns that 'AI could be misused to engineer biology.' His caution highlights the dual-use dilemma: a tool that can heal may also be weaponized if left unchecked. 'AI powered protein design is one of the most exciting, fast-paced areas of AI right now, but that speed also raises concerns about potential malevolent uses,' he said.
The urgency of these concerns is compounded by the rapid pace of AI development, which outstrips the ability of regulatory frameworks to keep up.
Horvitz's call to 'stay proactive, diligent and creative in managing risks' is a rallying cry for scientists, policymakers, and the public to act before the technology spirals beyond control.
In a world first, scientists have created the first ever viruses designed by AI, sparking fears it such technology could help create a catastrophic bioweapon (file photo).
The study, published in a leading scientific journal, details how the team used an AI model called Evo, which is akin to ChatGPT, to create new virus genomes—the complete sets of genetic instructions for the organisms.
Just like ChatGPT has been trained on articles, books and text conversations, Evo has been trained on millions of bacteriophage genomes, enabling it to generate novel viral sequences with remarkable accuracy.

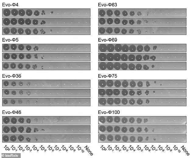
The researchers evaluated thousands of AI-generated sequences before narrowing them down to 302 viable bacteriophages.
This painstaking process highlights the precision required to ensure the safety and efficacy of AI-designed organisms.
The study showed 16 were capable of hunting down and killing strains of Escherichia coli (E. coli), the common bug that causes illness in humans. 'It was quite a surprising result that was really exciting for us, because it shows that this method might potentially be very useful for therapeutics,' said study co-author Samuel King, bioengineer at Stanford University.
Because their AI viruses are bacteriophages, they do not infect humans or any other eukaryotes, whether animals, plants or fungi, the team stress.
This critical distinction is a double-edged sword: it limits the immediate risks of the technology while also raising questions about its scalability.
If AI can be harnessed to target harmful bacteria, could it also be manipulated to target humans?
The answer hinges on the safeguards implemented by the scientific community and the broader society.
But some experts are concerned the technology could be used to develop biological weapons—disease-causing organisms deliberately designed to harm or kill humans.
Jonathan Feldman, a computer science and biology researcher at Georgia Institute of Technology, said there is 'no sugarcoating the risks.' His blunt assessment reflects the growing anxiety among scientists about the potential misuse of AI in biotechnology.
Bioweapons, defined as toxic substances or organisms produced and released to cause disease and death, are already prohibited under the 1925 Geneva Protocol and several international humanitarian law treaties.
Yet, the rise of AI introduces new vulnerabilities that existing legal frameworks may not address.
In the study, the team used an AI model called Evo, which is akin to ChatGPT, to create new virus genomes (the complete sets of genetic instructions for the organisms).
The same AI models that revolutionize drug discovery and genetic engineering could also be exploited by malicious actors.
A government report highlights this duality, noting that 'AI tools can already generate novel proteins with single simple functions and support the engineering of biological agents with combinations of desired properties.' The report also warns that 'biological design tools are often open sourced, which makes implementing safeguards challenging.' 'We're nowhere near ready for a world in which artificial intelligence can create a working virus,' said Jonathan Feldman in a piece for the Washington Post. 'But we need to be, because that's the world we're now living in.' His words encapsulate the paradox at the heart of this technological revolution: the need to embrace innovation while preparing for its risks.
As AI continues to advance, the challenge will be to ensure that the tools of creation are wielded responsibly, without compromising the safety of humanity or the integrity of the natural world.
In a world where artificial intelligence is rapidly reshaping the boundaries of science, a new frontier has emerged—one that could redefine the very fabric of life itself.

Researchers at Stanford University have unveiled a groundbreaking study, published as a preprint in bioRxiv, demonstrating how AI can be harnessed to engineer bacteriophages—viruses that infect bacteria.
The implications are staggering.
By generating thousands of AI-designed phage genomes, the team narrowed down to 302 viable sequences, each with the potential to revolutionize medicine, agriculture, or even environmental engineering.
Yet, as the study itself acknowledges, the same tools that could heal the world might also become instruments of unprecedented danger.
Craig Venter, the pioneering biologist and leading genomics expert based in San Diego, has raised alarm bells over the potential misuse of such technology. 'I would have grave concerns if someone did this with smallpox or anthrax,' he warned in an interview with MIT Technology Review.
His words echo a growing chorus of scientists and bioethicists who see a looming crisis.
The Stanford team, while emphasizing 'safeguards inherent to our models,' admits that the very nature of AI-driven research introduces new vulnerabilities.
Their models, they claim, are designed to avoid generating genetic sequences that could make phages harmful to humans.
But as Tina Hernandez-Boussard, a professor of medicine at Stanford, pointedly notes, 'These models are smart enough to override safeguards once they’re given training data.' The line between innovation and catastrophe, she suggests, is razor-thin.
The stakes are further elevated by a parallel study from Microsoft, published in the journal Science, which revealed another unsettling possibility.
Researchers demonstrated how AI can be used to design synthetic versions of toxic proteins, capable of evading existing safety screening systems.
By altering amino acid sequences while preserving structural integrity, these AI-generated proteins could theoretically retain their harmful functions.
Eric Horvitz, Microsoft’s chief scientific officer and lead author of the study, warned that 'AI-powered protein design is one of the most exciting, fast-paced areas of AI right now, but that speed also raises concerns about potential malevolent uses.' His caution is not hyperbole.
The study highlights a chilling reality: the same tools that could cure diseases might also be weaponized to create biological threats on an unprecedented scale.
Synthetic biology, the field that sits at the intersection of AI and genetic engineering, is both a marvel and a menace.

It holds the promise of treating diseases, enhancing crop yields, and even neutralizing pollutants.
Yet, as a recent review of the field warns, the same technology that could benefit society could also be repurposed for harm.
The ability to engineer existing bacteria and viruses to become more lethal is no longer science fiction.
Advances in synthetic biology mean that pathogens once thought too complex to manipulate could now be modified with alarming speed.
The three most pressing threats, as identified by experts, include recreating viruses from scratch, enhancing bacterial virulence, and engineering microbes to cause more damage to the human body.
These are not distant possibilities; they are emerging realities.
The potential for misuse has not gone unnoticed by global security experts.
James Stavridis, a former NATO commander, has described the prospect of advanced biological technology falling into the hands of terrorists or rogue nations as 'most alarming.' He warns that such weapons could trigger an epidemic 'not dissimilar to the Spanish influenza,' with the potential to wipe out up to a fifth of the world’s population.
His fears are not unfounded.
In 2015, an EU report revealed that ISIS had already begun recruiting experts in chemical and biological warfare, signaling a disturbing shift in the tactics of modern terrorism.
The convergence of AI and synthetic biology, if left unchecked, could create a new era of bioweapons—deadly, invisible, and capable of spreading with terrifying efficiency.
As the world stands at this crossroads, the question is no longer whether these technologies can be misused, but whether the global community is prepared to confront the risks.
The Stanford and Microsoft studies are not warnings of the future; they are urgent calls to action.
Safeguards must be strengthened, international collaboration must be prioritized, and the ethical boundaries of AI-driven biology must be clearly defined.
The time to act is now—before the next breakthrough becomes a weapon, and before the next innovation is used to unleash a crisis that could reshape the world forever.
Photos